ご来院のみなさまへ
医療機関の方へ
就職をご希望の方へ
外来のご案内
交通アクセス
診療に関する
お問い合わせ
文字の大きさ
標準
大
きく
MENU
ご来院のみなさまへ
医療機関の方へ
就職をご希望の方へ
TOP
当院に
ついて
外来の
ご案内
入院の
ご案内
診療科・センター
健診の
ご案内
よくある
質問
お問い
合わせ
宗像水光会総合病院について
宗像水光会総合病院
理事長あいさつ
院長あいさつ
私たちの理念
病院概要・沿革
認定指定一覧・施設基準
災害拠点病院
一般事業主行動計画
女性活躍推進法に基づく公表
育児・介護休業法に基づく公表
交通アクセス
よくある質問
お問い合わせ
フロアマップ
6F
【一般病棟・
回復期リハビリ病棟】
5F
【一般病棟・
地域包括ケア病棟】
4F
【一般病棟】
3F
【手術室・ICU・心臓血管センター・透析センター】
2F
【管理】
1F
【受付・外来】
病院の取り組み
活動・取組み
チーム医療
個人情報保護への取り組み
病院指標
輸血について当院の考え方
宗教上等の理由で輸血療法を拒否される患者さんへ
疾患センター・専門病棟
心臓血管センター
透析センター
創傷治療センター・足病外来
内視鏡センター
回復期リハビリテーション病棟
医療機器の紹介
医療機器の紹介
外来のご案内
外来について
受付時間
受診申し込みから帰宅までの流れ
受診手続き
診療費のお支払い
休診日、時間外の診療について
院内での写真・動画撮影・録音について
携帯電話のご利用について
院内Wi-Fiサービスのご利用について
喫煙に関するお願い
外来についての情報
医師のご紹介
外来医師担当医表
診療に関するお問い合わせ
診療科・センター
予防接種について
各種検査について
公費負担医療費のご案内
各種証明書の発行
入院のご案内
入院の手続きについて
入院の際にお持ちいただくもの
寝具について
付き添いについて
お食事について
入院費について
退院手続きについて
面会について
入院中のお願い
院内での写真・動画撮影・録音について
携帯電話のご利用について
院内Wi-Fiサービスのご利用について
敷地内禁煙に関するお願い
個人情報保護への取り組み
診療科・センター
心臓血管センター
透析センター
創傷治療センター・足病外来
内視鏡センター
内科
循環器科
小児科
皮膚科
外科
心臓血管外科
整形外科
脳神経外科
形成外科
泌尿器科
産婦人科
眼科
耳鼻咽喉科
放射線科
麻酔科
リハビリテーション科
救急科
TOP
健診のご案内
脳ドック
脳ドックの頚動脈エコー
脳ドックの頚動脈エコー
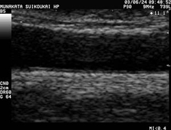
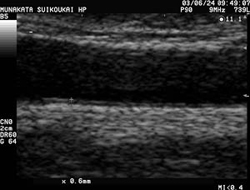
頚動脈エコー例
頚動脈エコー
正常例
動脈の拡大エコー
(黒く帯状に抜けているところが頚動脈の内腔)
内頚動脈の内膜厚を
測定しているところ
頚動脈エコー
(黄色にみえる部分は血流を示している)
頚動脈狭窄症例の動画をみる
[mpgファイル 776KB]
検査使用機器
TOSHIBA Xario
TM
健診のご案内
人間ドック
脳ドック
生活習慣病予防健診
定期健康診断
特定健康診査
就職・入学のための健診
▲
ご来院のみなさまへ
TOP
当院について
外来のご案内
入院のご案内
診療科・センター
健診のご案内
よくある質問
お問い合わせ
総合メニュー
ご来院のみなさまへ
医療機関の方へ
就職をご希望の方へ